H pylori Test and Treatment can successfully reduce the risks of gastric ulcers and cancer.

Doctor consulting with patient

H Pylori diagnosing methods are divided into two main categories: invasive (requiring an endoscopy) and non-invasive. 

"Test and Treat" Strategy: This is a common approach for young, healthy patients with dyspepsia (indigestion) and no alarming symptoms. A positive non-invasive test leads directly to antibiotic treatment without the need for an initial endoscopy.

Serology test

It has a low diagnostic accuracy of 80–84%.The positive predictive value (PPV) will be as low as 50% (half of positive results are false positive). Therefore, positive serology results at least need to be confirmed by other methods. Serology can also remain positive for months to years after successful eradication.

Stool Antigen test

Process of stool collection is distasteful to both patients and doctors.Lower accuracy for confirming eradication of Hp infection.

Culture

It requires an endoscopy, has excellent specificity and is necessary for determination of antibiotic sensitivities. However, culture is difficult to perform, so negative cultures may be falsely reassuring.

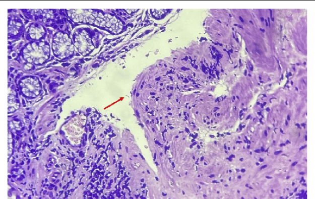
Histology

It has good sensitivity and specificity, but is generally only available in the endoscopy setting. The accuracy of this diagnostic method depends on the load of microorganisms in the sample and the site of the gastric mucosa in which the biopsy was collected.

RUT

The rapid urease test is 80% to 95% sensitive and offers rapid testing and accurate results for patients not on PPIs. However, the test can give ambiguous results and is subject to high inter-observer bias. On account of the limitations of culturing and rapid urease testing, most invasive testing for H pylori is performed with routine histology and additional immunohistochemistry.

UBT

The UBT is described as a gold standard noninvasive method for H. pylori diagnosis. It has high diagnostic accuracy when comparing serology and stool antigen tests.

50%+

World Average Prevalence

Class 1

carcinogen Classified by WHO

75%+

Gastric Cancer Caused by H pylori

Request a Demo

Reach out to schedule a demo today.

Click to access the login or register cheese